Gamze Erkılınç1, Atalay Doğru2, Yaşar Arslan1, Rıza Burak Öz3, Nermin Karahan1, Mehmet Şahin2, İbrahim Metin Çiriş1

1Department of Pathology, Süleyman Demirel University School of Medicine, Isparta, Turkey
2Department of Internal Medicine, Division of Rheumatology, Süleyman Demirel University School of Medicine, Isparta, Turkey
3Departmant of Internal Medicine, Süleyman Demirel University School of Medicine, Isparta, Turkey

Keywords: Histopathology, minor salivary gland, Sjögren’s syndrome.

Abstract

Objectives: This study aims to evaluate which of the histomorphological criteria defined in labial salivary gland biopsy are more valuable in diagnosing Sjögren’s syndrome (SS) and to examine its correlation with clinical and laboratory findings.

Patients and methods: Between January 2005 and January 2019, a total of 927 patients (104 males, 823 females; mean age: 51 years; range, 19 to 85 years) who underwent minor salivary gland biopsies with the suspicion of SS were retrospectively analyzed. The American College of Rheumatology (ACR)/European League Against Rheumatism (EULAR) 2016 classification criteria were used for the classification of SS. We evaluated salivary gland biopsies histomorphologically for the presence and number of lymphocytic focus, as well as chronicity findings (acinar atrophy, ductal dilatation, fibrosis), the presence of lymphocytic infiltration, distribution, localization, ectopic germinal center, and mast cell count. The presence of accompanying diseases, clinical and laboratory findings including age, sex, the presence of dry eye and mouth, and autoantibodies for discriminating SS were noted. Histomorphologically, salivary gland biopsy which fulfilled the adequacy criteria for glandular tissue were compared with the other criteria used to diagnose SS.

Results: Strong chronicity and diffuse lymphocytic infiltration were significantly higher in the SS group compared to the non-SS group (p<0.001). Lymphocytic focus score >1 was significantly higher in the SS group compared to the non-SS group (p<0.001). Strong chronicity, acinar atrophy, andductal dilatation were significantly higher in the SS group compared to the non-SS group (p<0.001).

Conclusion: More than one lymphocytic focus is the most valuable finding in diagnosing SS. However, it should be kept in mind that, in cases of SS, ductal dilatation, acinar atrophy, and chronicity may be present without lymphocytic infiltration.

Introduction

Sjögren’s syndrome (SS) is a chronic autoimmune disease characterized by dry mouth and eye.[1] The disease spectrum is very wide and symptoms may range between mild to severe dryness and extraglandular and systemic involvement may occur. The disease may be classified into primary SS (pSS) and secondary SS (sSS) according to accompanying autoimmune diseases such as rheumatoid arthritis, systemic sclerosis, and systemic lupus erythematosus.[1] Rheumatoid arthritis is the most common associated disease in sSS patients.[2] Genetic, environmental, epigenetic, and stochastic factors play a role in the development of SS in the etiology and its pathogenesis has not yet been clarified.[3] Innate and adaptive immune mechanisms and epithelial cell defects are blamed in the pathogenesis.[3-6]

Since all parameters can be observed in a variety of ways in the disease, no single parameter including laboratory testing, ophthalmological evaluation, depiction of salivary hypofunction, and serological testing can diagnose SS with certainty. In this setting, labial salivary gland biopsy is of utmost importance in the lack of no specific marker for SS.[7] Salivary gland biopsy may be essential in the lack of or weak positivity of autoimmune markers.[8] Furthermore, salivary gland biopsy can help in excluding the disease, which may result in salivary gland impairment in salivary gland function.

Minor salivary gland biopsy is the gold standard in the first diagnosis[6] according to the classification defined by Chisholm and Mason[7] as follows: score 0: negative, score 1: mild lymphocytic infiltration, score 2: moderate lymphocytic infiltration, score 3: 1 focus (more than 50 lymphocytic cell infiltrations in 4 mm2), score 4: more than 1 focus.

The most common histological finding of SS is the presence of a lymphocytic focus, particularly located in the periductal area. Acinar atrophy, ductal dilatation, and fibrosis are the other non-specific markers in SS.[9] Studies evaluating the diagnostic value of salivary gland biopsies have primarily focused on the correlation of histopathology and laboratory and clinical findings mostly in pSS. Although the sensitivity of labial biopsy in SS has been reported to be around 80%, it is not a specific marker for SS; it can be also observed in autoimmune diseases and even in healthy elder individuals.[10]

It is important to distinguish PSS from non-specific chronic sialadenitis (NSCS).[11] In NSCS, more acinar atrophy, interstitial fibrosis, and ductal dilatation are common and their frequency increases with age, but similar findings may be present in pSS.[11] While evaluating routine salivary gland biopsies histomorphologically, the presence and number of lymphocytic foci, as well as chronicity findings (acinar atrophy, ductal dilation, fibrosis), presence of lymphocytic infiltration, distribution, localization, presence or absence of an ectopic germinal center, amyloid deposition, and mast cell counts should be also evaluated.[12]

In the current study, we aimed to evaluate which of the histomorphological criteria defined in labial salivary gland biopsy are more valuable in diagnosing SS and to examine its correlation with clinical and laboratory findings.

Patients and Methods

This single-center, retrospective study was conducted at Süleyman Demirel University School of Medicine, Department of Pathology between January 2005 and January 2019. All patients who underwent minor salivary gland biopsies with the suspicion of SS were screened. During the study period, 958 patients underwent salivary gland biopsies. Patients who had inadequate tissue or salivary gland neoplasia were excluded. Finally, a total of 927 patients (104 males, 823 females; mean age: 51 years; range, 19 to 85 years) were included in the study. A written informed consent was obtained from each patient. The study protocol was approved by the Süleyman Demirel University School of Medicine Ethics Committee (No: 199286-03-12-2019). The study was conducted in accordance with the principles of the Declaration of Helsinki.

The American College of Rheumatology (ACR)/European League Against Rheumatism (EULAR) 2016 classification criteria[13] were used for the classification of SS. The classification of SS applies to any individual who has a score of ≥4 when summing the weights from the following items: anti-SS-related antigen-A (anti-SSA) positivity (weight/score: 3), labial salivary gland with focal lymphocytic sialadenitis and focus score ≥ 1 (weight/score: 3), ocular staining score ≥5 on at least one eye (weight/score: 1), Schirmer ≤5 mm/5 min on at least one eye (weight/score: 1), unstimulated whole saliva flow rate ≤0.1 mL/min (weight/score: 1). The presence of accompanying diseases for discriminating SS was noted from the patients’ files. Patients with a history of head and neck radiation therapy, active hepatitis C infection with positive polymerase chain reaction (PCR), acquired immunodeficiency syndrome, sarcoidosis, amyloidosis, graft versus host disease, immunoglobulin (Ig)-G4-related disease were excluded.

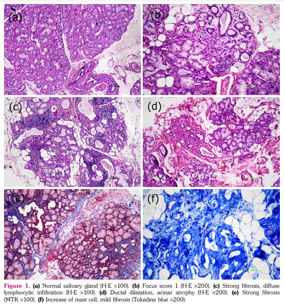
Biopsies were taken from a normal-appearing lower lip with biopsy forceps under local anesthesia by a rheumatologist. Biopsy specimens that included >4 lobules were regarded sufficient for evaluation. All formalin-fixed paraffin-embedded tissue blocks from 927 cases were cut in three serial sections with 3 to 4-µm thickness and stained with hematoxylin and eosin (H-E). All slides were evaluated by expert pathologists. The number of lymphocytic foci in a surface area of at least 4 mm2 was evaluated for the grading of lymphocytic focus scores.[14] A lymphocytic focus was defined as an accumulation of at least 50 or more mononuclear cells with morphologically normal acini. The number of lymphocytic foci observed in each 4 mm2 area was classified into three groups as lymphocytic focus score (LFS) <1, 1, >1 (Figure 1a-d). The presence of ductal dilatation, acinar atrophy, chronicity, and lymphoid follicle (Figure 1e) was evaluated. The existing Masson’s trichrome (Figure 1e) staining which was applied histochemically to the cases was evaluated for fibrosis, while the toluidine blue (Figure 1f) staining that was applied histochemically to the cases was evaluated for the increased mast cell count. Lymphocyte infiltration was divided into five groups according to the level of infiltration between 0 and 4 according to the Chisholm-Mason grading system.[7] The results of the Schirmer test were divided into three groups as negative (>10 mm), relative (6-10 mm), and positive (1-5 mm).[7]

The clinical and laboratory findings including age, sex, the presence of dry eye and mouth, anti-nuclear antibodies (ANA), anti-SSA, anti-SS-related antigen-B (anti-SSB), rheumatoid factor (RF), anti-citrullinated protein antibody (ACPA), and hematological involvement, pulmonary involvement were recorded. The presence of accompanying disease such as hypertension, and coronary artery disease (CAD) was noted.

Histomorphologically, salivary gland biopsies which fulfilled the adequacy criteria for glandular tissue compared to the other criteria were used to diagnose SS. The diagnosis of SS was ruled out in patients with LFS >1, when clinical and laboratory and clinical findings were not suggestive of the disease.

Statistical analysis

Statistical analysis was performed using the IBM SPSS version 21.0 software (IBM Corp., Armonk, NY, USA). Descriptive data were expressed in mean ± standard deviation (SD), median (min-max) or number and frequency. The normality of data was analyzed using the Kolmogorov-Smirnov and Shapiro-Wilk tests. Parametric continuous data were compared using the independent sample t-test and non-parametric continuous data were compared using the Mann-Whitney U test. Categorical data were compared using the Pearson chi-square test. The Fisher’s exact test was used for categorical data comparisons, when the expected value problems occurred. Logistic regression analysis was conducted to identify the significance of histopathological parameters in the diagnosis of SS. A p value of <0.05 was considered statistically significant.

Results

The mean age in the SS and non-SS groups were 54.8±12.8 and 51±14 years, respectively (p≤0.001). Most of the patients were female in the SS and non-SS groups (87.7% and 89.8.2%, respectively) and there was no significant difference between the groups in terms of age and sex (p<0.001, p=0.324).

Dry eye was significantly more common in the SS group, compared to the non-SS group (p=0.014). Anti-citrullinated peptide (anti-CCP) was significantly higher in the SS group compared to the non-SS group (p<0.05). The RF was similar in the SS and the non-SS group (p=0.08). Anti-SSA was significantly higher in the SS group, compared to the non-SS group (p<0.001). The ANA positivity was significantly higher in the SS group, compared to the non-SS group (p=0.006). Clinical and demographic data of the study population are shown in Table 1.

Strong chronicity was significantly higher in the SS group compared to the non-SS group (35.9% vs. 19.2%, respectively; p<0.001). The presence of acinar atrophy was significantly higher in the SS group compared to the non-SS group (76.2% vs. 52.1%, respectively; p<0.001). Ductal dilatation was significantly higher in the SS group compared to the non-SS group (79.5% vs. 55.8%, respectively; p<0.001). The presence of fibrosis was significantly higher in the SS group compared to the non-SS group (77.5% vs. 54.7%, respectively; p<0.001). Diffuse lymphocytic infiltration was significantly higher in the SS group compared to the non-SS group (62% vs.19.6% respectively; p<0.001). Ectopic germinal centers were not significantly more frequent in the SS group compared to the non-SS group (4% vs. 1.1%, respectively; p=0.07). However, mast cell counts were significantly higher in the SS group compared to the non-SS group (42.2% vs. 25.2%, respectively; p<0.001). The results of the histopathological data are shown in Table 1.

Lymphocytic focus scores ≥2 was significantly more frequent in the SS group compared to the non-SS group (77.1% vs. 22.9%, respectively; p<0.001). No lymphocytic infiltration was observed in the SS and non-SS groups with rates of 15.5% and 84.5%, respectively. The level of lymphocytic infiltration was similar between the groups in terms of hematological involvement, crystal positive/negative, pulmonary involvement, hypertension, and CAD.

Lymphocytic focus scores >1 were significantly more frequent in the SS group compared to thenon-SS group (76.6% vs. 23.4%, respectively; p<0.001). Anti-SSA was significantly higher in the LFS >1 group compared to the LFS <1 and LFS=1 groups (p<0.01). Hematologicaland pulmonary involvement, sex, anti-CCP, RF, ANA, anti-SSB were similar between the LFS <1, 1, and >1 groups (p>0.05). The comparison of LFS is shown in Table 2.

After excluding cases with diffuse lymphocytic infiltration, we compared the SS and non-SS groups according to ductal dilatation, chronicity, and acinar atrophy. Strong chronicity was significantly higher in the SS group compared to the non-SS group (60.4% vs. 48.6%, respectively; p=009). Acinar atrophy was significantly higher in the SS group compared to the non-SS group (59.9% vs. 48.3%, respectively; p=0.011). Ductal dilatation was significantly higher in the SS group compared to the non-SS group (57.1% vs. 45.1%, respectively; p=0.008). The comparison of histopathological features between the SS and non-SS groups are shown in Table 3.

Logistic regression analysis was conducted to investigate the effect of pathological and laboratory markers for predicting SS, and pulmonary and hematological involvement. Diffuse lymphocytic infiltration and LFS ≥1 were found to be independent factors for SS (odds ratio [OR]: 4.0, 95% confidence interval [CI]: 1.7-9.6 and OR: 2.6, 95% CI: 1.6-4.2, respectively). None of the pathological markers was found to be prognostic both for hematological and pulmonary involvement. The comparison of pathological and laboratory markers for predicting SS, and pulmonary and hematological involvement with regression analysis is shown in Table 4.

Discussion

At the time of SS diagnosis, one of the major criteria is that the lymphocytic focus score should be above 1 in the minor salivary gland biopsy.[6] In the classic scoring system, the inflammatory cell infiltration and focus number around the ductus and acini are evaluated in H&E-stained sections.[6,15] In our study, lymphocytic foci were observed in 77.8% of the patients with SS in the minor salivary gland biopsy. The most frequent feature of histological examinations in SS was the presence of lymphocytic foci. Bookman et al.[16] reported that SS was associated with glandular fibrosis, one of the histomorphological findings. In our study, in which an SS group was compared with a non-SS group, chronicity was evident, and acinar atrophy, ductal dilation, fibrosis and diffuse lymphocytic infiltration were significantly higher.

The most commonly used method in scoring is the Chisholm and Mason grading system and normal salivary gland is 0, mild to moderate infiltrate Grade I and II, one focus is considered Grade III, and more than 1 focus is considered Grade IV.[17] In large cohort studies involving 794 cases using this grading system, explanatory results have not yet been obtained on the role of prognosis.[18] In our study, lymphocytic focus scores and additional diseases in the patient group such as hematological malignancy and lung disease were evaluated, and we found no significant differences in terms of their effect on prognosis.

A lymphocytic focus score of ≥1 was regarded to be a major criterion in the diagnosis of SS.[10] Inflammatory cell infiltration and the number of lymphocytic foci are the key markers in the evaluation of SS. In the current study, we investigated histopathological features in SS and found higher lymphocytic infiltration and focus scores in the SS group compared to the non-SS group. Furthermore, strong chronicity, ductal dilatation, and fibrosis were prominent findings in the SS group.

The diagnosis of SS still based on the combination of clinical and laboratory and pathological evaluations, and none of the diagnostic methods has complete accuracy yet.[19] The presence of a lymphocytic focus is the main histological feature of SS. Furthermore, current literature mostly focuses on the value of lymphocytic focus score, which is known to be a good ancillary test. However, additional pathological features can be used as a marker of SS. In the current study, ductal dilatation, acinar atrophy, and fibrosis were significantly higher in patients with SS. The diagnosis of SS is currently made using the European classification criteria.[8]

In histopathological examinations, it was observed that early-stage T lymphocytes and B lymphocytes were formed in SS in the salivary or lacrimal glands. As a result, the destruction of lymphocytic infiltration in the normal salivary gland caused proliferation and epimyoepithelial islands in the ductal epithelium. Due to the secretions being inadequately secreted, dry eye and dry mouth may also cause damage to the corneal and conjunctival epithelium.[20,21] In our patients with SS, the Schirmer test positivity was significantly higher than in the non-SS group, and similarly, dry eye symptoms were found to be high.

In cases where minor salivary gland biopsies performed on the lower lip were evaluated, false-negative results ranging from 18 to 40% and false-positives ranging from 6 to 9% were reported.[22,23] Such situations have changed the perspective of minor salivary gland biopsy, which helps in diagnosing SS, but it should not be a direct address for diagnosing SS. It should be kept in mind that it can be a non-specific clinical condition, extraglandular involvement, and an autoimmune disease that has not yet been identified with antibody positivity.[18] Ninety-one cases with lymphocytic infiltration prominent in the minor salivary gland that met the qualification criteria in our study were diagnosed with non-SS. In addition, there were some cases in the SS group in which no lymphocytic infiltration was observed. This situation may be the result of sampling error or due to the fact that lymphocytic infiltration may not always accompany SS.

The most common extraglandular complications, which affected 9 to 75% of patients, were pulmonary manifestations. The frequency varied widely due to the distinct methods of identification used and patient preference. In PSS, Jin et al.,[24] found a high incidence of pulmonary complications, and that RF and anti-CCP positivity were significantly higher in patients with SS with lung involvement. Also in our study, none of the pathological findings was found to be prognostic both for hematological and pulmonary involvement. In the literature, the RF positivity was reported as approximately 40% in the SS group.[25] In the current study, the RF positivity was 8.5% and patients with and without SS showed a similar RF positivity. The RF positivity was excluded from the 2016 ACR classification criteria for primary SS, as it was reported to be a non-specific serological indicator of SS that could be affected by age, sex, and comorbidities.[26] In our study, the fact that the number of patients with RF positivity was lower than we expected can be attributed to the patient population, age, sex or laboratory measurement method used.

Histopathological evaluation was defined as one of the constituents of diagnosis. However, histopathology was not a single criterion for diagnosis. The patients with SS had LFS >1 predominantly. However, we observed signs of chronicity in some cases that showed LFS <1. Ductal dilatation, acinar atrophy, and chronicity were surprisingly higher in patients with SS and with a lymphocytic score of <1 in our study population. Thus, the question remains whether some patients were overlooked, if only LFS was used as a single histopathological marker for SS. This result suggests that patients providing clinical and laboratory criteria of SS and LFS <1 should be evaluated to determine ductal dilatation, acinar atrophy, and fibrosis.[10] Negativity of anti-Ro and anti-La was reported as high as 50%.[27] As a result, serological testing is not sufficient in the diagnosis of SS. Serological test positivity in patients with LFS >1 was reported to be as low as 53%.

The main limitations of this study include its single-center, retrospective, observational design, and tests considered as diagnostic for SS, such as the ocular staining score test. In addition, not all unstimulated saliva flow rate tests were performed by a single investigator. The main strength of this study is its large-scale sample size and we believe that our study would contribute to the literature on this subject.

In conclusion, SS is an autoimmune disease in which a multidisciplinary approach should be implemented in the diagnosis. Histopathologically, more than one lymphocytic focus is the most valuable finding in diagnosing SS. However, it should be kept in mind that, in cases of SS, ductal dilatation, acinar atrophy, and chronicity may be present without lymphocytic infiltration. None of the histopathological findings in this study is prognostic both for hematological and pulmonary involvement. Nevertheless, further prospective, comprehensive studies are needed to draw a firm conclusion.

Citation: Erkılınç G, Doğru A, Arslan Y, Öz RB, Karahan N, Şahin M, et al. Evaluation of histopathological results of minor salivary gland biopsies in patients with the diagnosis of Sjögren’s syndrome. Arch Rheumatol 2022;37(1):49-58.

Conflict of Interest

The authors declared no conflicts of interest with respect to the authorship and/or publication of this article.

Financial Disclosure

The authors received no financial support for the research and/or authorship of this article.

References

  1. Ramos-Casals M, Tzioufas AG, Font J. Primary Sjögren’s syndrome: New clinical and therapeutic concepts. Ann Rheum Dis 2005;64:347-54.
  2. Kakugawa T, Sakamoto N, Ishimoto H, Shimizu T, Nakamura H, Nawata A, et al. Lymphocytic focus score is positively related to airway and interstitial lung diseases in primary Sjögren’s syndrome. Respir Med 2018;137:95-102.
  3. Leehan KM, Pezant NP, Rasmussen A, Grundahl K, Moore JS, Radfar L, et al. Minor salivary gland fibrosis in Sjögren’s syndrome is elevated, associated with focus score and not solely a consequence of aging. Clin Exp Rheumatol 2018;36 Suppl 112:80-8.
  4. Lessard CJ, Li H, Adrianto I, Ice JA, Rasmussen A, Grundahl KM, et al. Variants at multiple loci implicated in both innate and adaptive immune responses are associated with Sjögren’s syndrome. Nat Genet 2013;45:1284-92.
  5. Teos LY, Zhang Y, Cotrim AP, Swaim W, Won JH, Ambrus J, et al. IP3R deficit underlies loss of salivary fluid secretion in Sjögren’s Syndrome. Sci Rep 2015;5:13953.
  6. Vitali C, Bombardieri S, Jonsson R, Moutsopoulos HM, Alexander EL, Carsons SE, et al. Classification criteria for Sjögren’s syndrome: A revised version of the European criteria proposed by the American-European Consensus Group. Ann Rheum Dis 2002;61:554-8.
  7. Chisholm DM, Mason DK. Labial salivary gland biopsy in Sjögren’s disease. J Clin Pathol 1968;21:656-60.
  8. Vitali C. Sjögren’s syndrome. In: Gerli R, editor. Classification criteria for Sjögren’s syndrome. 1st ed. Massachusetts: Academic Press; 2016. p. 47-60.
  9. Drosos AA, Andonopoulos AP, Costopoulos JS, Papadimitriou CS, Moutsopoulos HM. Prevalence of primary Sjögren’s syndrome in an elderly population. Br J Rheumatol 1988;27:123-7.
  10. Vitali C, Bombardieri S, Jonsson R, Moutsopoulos HM, Alexander EL, Carsons SE, et al. Classification criteria for Sjögren’s syndrome: A revised version of the European criteria proposed by the American-European Consensus Group. Ann Rheum Dis 2002;61:554-8.
  11. Fisher BA, Brown RM, Bowman SJ, Barone F. A review of salivary gland histopathology in primary Sjögren’s syndrome with a focus on its potential as a clinical trials biomarker. Ann Rheum Dis 2015;74:1645-50.
  12. Guellec D, Cornec D, Jousse-Joulin S, Marhadour T, Marcorelles P, Pers JO, et al. Diagnostic value of labial minor salivary gland biopsy for Sjögren’s syndrome: A systematic review. Autoimmun Rev 2013;12:416-20.
  13. Rasmussen A, Ice JA, Li H, Grundahl K, Kelly JA, Radfar L, et al. Comparison of the American-European Consensus Group Sjogren’s syndrome classification criteria to newly proposed American College of Rheumatology criteria in a large, carefully characterised sicca cohort. Ann Rheum Dis 2014;73:31-8.
  14. Morbini P, Manzo A, Caporali R, Epis O, Villa C, Tinelli C, et al. Multilevel examination of minor salivary gland biopsy for Sjogren’s syndrome significantly improves diagnostic performance of AECG classification criteria. Arthritis Res Ther 2005;7:R343-8.
  15. Shiboski SC, Shiboski CH, Criswell L, Baer A, Challacombe S, Lanfranchi H, et al. American College of Rheumatology classification criteria for Sjögren’s syndrome: A data-driven, expert consensus approach in the Sjögren’s International Collaborative Clinical Alliance cohort. Arthritis Care Res (Hoboken) 2012;64:475-87.
  16. Bookman AA, Shen H, Cook RJ, Bailey D, McComb RJ, Rutka JA, et al. Whole stimulated salivary flow: correlation with the pathology of inflammation and damage in minor salivary gland biopsy specimens from patients with primary Sjögren’s syndrome but not patients with sicca. Arthritis Rheum 2011;63:2014-20.
  17. Daniels TE, Whitcher JP. Association of patterns of labial salivary gland inflammation with keratoconjunctivitis sicca. Analysis of 618 patients with suspected Sjögren’s syndrome. Arthritis Rheum 1994;37:869-77.
  18. Carubbi F, Alunno A, Cipriani P, Di Benedetto P, Ruscitti P, Berardicurti O, et al. Is minor salivary gland biopsy more than a diagnostic tool in primary Sjögren’s syndrome? Association between clinical, histopathological, and molecular features: A retrospective study. Semin Arthritis Rheum 2014;44:314-24.
  19. Fauchais AL, Martel C, Gondran G, Lambert M, Launay D, Jauberteau MO, et al. Immunological profile in primary Sjögren syndrome: Clinical significance, prognosis and long-term evolution to other autoimmune disease. Autoimmun Rev 2010;9:595-9.
  20. Mavragani CP, Moutsopoulos HM. The geoepidemiology of Sjögren’s syndrome. Autoimmun Rev 2010;9:A305-10.
  21. Venables PJ. Sjögren’s syndrome. Best Pract Res Clin Rheumatol 2004;18:313-29.
  22. Langerman AJ, Blair EA, Sweiss NJ, Taxy JB. Utility of lip biopsy in the diagnosis and treatment of Sjogren’s syndrome. Laryngoscope 2007;117:1004-8.
  23. Soto-Rojas AE, Kraus A. The oral side of Sjögren syndrome. Diagnosis and treatment. A review. Arch Med Res 2002;33:95-106.
  24. Jin Y, Zhang T, Ye W, Zhu X, Wang L, Wang X. Clinical profile and associated factors of pulmonary involvement in primary Sjögren’s syndrome. Med Clin (Barc) 2019;153:305-11. English, Spanish.
  25. Brito-Zerón P, Acar-Denizli N, Ng WF, Zeher M, Rasmussen A, Mandl T, et al. How immunological profile drives clinical phenotype of primary Sjögren’s syndrome at diagnosis: Analysis of 10,500 patients (Sjögren Big Data Project). Clin Exp Rheumatol 2018;36 Suppl 112:102-12.
  26. Le Goff M, Cornec D, Jousse-Joulin S, Guellec D, Costa S, Marhadour T, et al. Comparison of 2002 AECG and 2016 ACR/EULAR classification criteria and added value of salivary gland ultrasonography in a patient cohort with suspected primary Sjögren’s syndrome. Arthritis Res Ther 2017;19:269.
  27. Pereira DL, Vilela VS, Dos Santos TC, Pires FR. Clinical and laboratorial profile and histological features on minor salivary glands from patients under investigation for Sjögren’s syndrome. Med Oral Patol Oral Cir Bucal 2014;19:e237-41.