Mehmet Hünür1, Tahir Saygın Öğüt2, Ece Çelik3, Funda Erbasan2, Melis Dilbil2, Mine Nokay2, Mustafa Ender Terzioğlu2, Veli Yazisiz2

1Department of Internal Medicine, Akdeniz University Faculty of Medicine, Antalya, Türkiye
2Department of Internal Medicine, Division of Rheumatology, Akdeniz University Faculty of Medicine, Antalya, Türkiye
3Division of Allergy-Immunology, Edirne Sultan 1. Murat State Hospital, Edirne, Türkiye

Keywords: Interstitial lung disease, psoriatic arthritis, pulmonary ınvolvement.

Abstract

Objectives: The study aimed to describe the prevalence and patterns of pulmonary lesions in the patients with psoriatic arthritis (PsA).

Patients and methods: Pulmonary symptoms and thorax imaging findings of 247 patients (155 females, 92 males, mean age: 52.0±12.6 years; range, 23 to 87 years) with PsA diagnosed according to CASPAR (Classification Criteria for Psoriatic Arthritis) diagnostic criteria were retrospectively reviewed between January 01, 2014 and December 31, 2020. Thoracic computed tomography or high-resolution computed tomography, whichever was accessible, was used as the imaging method.

Results: Thoracic imaging revealed at least one pulmonary lesion in 25 (10.1%) patients. The frequency of interstitial lung diseases (ILD) was 3.6% (n=9) in the PsA cohort. Other commonly detected pulmonary lesions were pulmonary nodules (n=21, 8.5%) and airway abnormalities (n=15, 6.1%; eight emphysema and seven bronchitis). ILD patterns were nonspecific interstitial pneumonia in three (1.2%) patients, cryptogenic organizing pneumonia in two (0.8%) patients, and probable usual interstitial pneumonia in two (0.8%) patients. ILD patterns in two (0.8%) patients could not be categorized and accepted as unclassifiable type. None of the patients had apical fibrosis. The mean age was higher in patients with ILD (p=0.007), and ILD was found to be more common in males (p=0.010), current or former smokers (p=0.012), and patients receiving hydroxychloroquine treatment (p=0.028).

Conclusion: The frequency and severity of ILD in the patients with PsA was lower than those reported in connective tissue diseases. Apical fibrosis, which may be present in ankylosing spondylitis, another member of the spondyloarthritis group, was not detected.

Introduction

Psoriatic arthritis (PsA) is a psoriasisrelated chronic inflammatory disease affecting the musculoskeletal system.[1] Besides skin and nail involvement, arthritis, dactylitis, and enthesitis may also be observed. It affects both peripheral and axial joints, and the sacroiliac joint is commonly involved.[2] In addition to musculoskeletal system symptoms, patients with PsA also develop cardiovascular, psychological, and metabolic comorbidities, impairing life quality and increasing mortality.[3]

A variety of inflammatory diseases affect lungs with different involvement patterns, such as pleural, vascular, airway, or interstitial involvement. A meta-analysis reported that the risk of developing asthma was higher in the patients with psoriasis; older subjects were even more susceptible compared to young patients.[4] Another study demonstrated that the risk of developing chronic obstructive pulmonary disease in patients with psoriasis was two-fold compared to healthy subjects, and the risk was even higher in severe psoriasis.[5] Asthma, chronic obstructive pulmonary disease, pulmonary nodules, interstitial lung disease (ILD), and many other pulmonary conditions were found to be more common among patients with arhritis compared to individuals without arthritis.[6]

The interstitial space is the area located between pulmonary vascular endothelium and alveolar epithelial cells, and involvement by some pathological processes can lead to ILD.[7] It is suggested that some inflammatory cells and cytokines, such as T helper 17 cells and interleukin (IL)-17, play a role in the development of ILD. These cells and cytokines leading to the activation of pulmonary fibroblasts and contributing to alveolitis play important roles in the pathogenesis of psoriasis and PsA.[8]

Interstitial lung diseases are commonly encountered in many connective tissue diseases (CTD), particularly systemic sclerosis.[9] Medications causing lung damage are other commonly encountered factors in the development of ILDs.[10] However, there is little information on ILDs accompanying psoriasis and PsA. In the study by Ishikawa et al.,[11] clinical and radiological characteristics of the patients with psoriasis and ILD were retrospectively evaluated. Twenty-one (4.7%) of 447 patients with known ILD and no history of immunosuppressant use were found to have psoriasis. Twenty-one (4.7%) were found to have fibrotic lung disease, and in only four of them, the clinical picture was compatible with PsA. Another study reported a 1% prevalence for ILD among 387 patients with PsA,[12] and findings suggesting apical lung fibrosis were detected in some of these patients. In other case series, various radiological pulmonary involvement patterns, such as lower lobe reticulations and honeycombing, associated with upper lobe predominant nodular pattern, and ground glass opacities were reported.[13,14] These findings suggest that further research is needed to define the relationship between PsA and ILD.

This study aimed to investigate the prevalance and the patterns of pulmonary lesions, particularly ILD, and determine the risk factors for pulmonary involvement in patients with PsA.

Patients and Methods

In the retrospective study, 320 PsA patients who admitted to the Akdeniz University Faculty of Medicine between January 01, 2014 and December 31, 2020 were evaluated. Seventy-three patients with missing data and meeting exclusion criteria were not included in the analyses. Consequently, 247 patients (155 females, 92 males, mean age: 52.0±12.6 years; range, 23 to 87 years) diagnosed with PsA according to the CASPAR (Classification Criteria for Psoriatic Arthritis) diagnostic criteria were enrolled in the study.[15] Information on age, sex, time from the diagnosis, smoking status, characteristics of psoriasis, PsA involvement pattern, treatment given for PsA, family history, and other demographic data that might be risk factors for pulmonary involvement were retrospectively obtained from patient files. PsA subgroups and the presence of dactylitis, enthesitis, and nail involvement were determined by physical examination. The presence of comorbidities, such as diabetes, hypertension, ischemic coronary artery disease, cerebrovascular events, and other rheumatic diseases, were also investigated. Information on the treatment given for PsA was obtained from patient files. All PsA patients examined in our clinic were scanned. The patients who did not fulfill CASPAR diagnostic criteria for PsA and subjects with incomplete clinical and laboratory data were excluded. This study protocol was approved by the Akdeniz University Faculty of Medicine Clinical Research Ethics Committee (date: 25/05/2021; no: 70904504/294). Additional consent was obtained from hospital's chief physician to analyze patient files. The study was conducted in accordance with the principles of the Declaration of Helsinki.

Respiratory tract symptoms and computed tomography (CT) or high-resolution CT (HRCT) imaging were obtained from the records and analyzed. Pulmonary function test results and carbonmonoxide diffusion capacity were obtained from hospital's database and recorded. CT and HRCT imaging had already been evaluated by radiologists before this study started, and the results of the images were available in the PACS (picture archiving and communication system). Radiological findings (CT or HRCT) of the patients with PsA considered suspicious for having pulmonary lesions were reevaluated. Images inputted into the PACS were again reviewed by rheumatologists. The ILD classification was made based on the 2002 American Thoracic Society/European Respiratory Society consensus report.[16] Other lung lesions, such as nodules, emphysema, bronchitis, and pleural changing, were noted. Consultations with pulmonologists were also reviewed. The final clinical diagnoses of the patients were compared with CT findings. Images supporting the following clinical findings were excluded from analysis: acute respiratory tract infections, pulmonary infections (e.g., lobar pneumonia and aspiration pneumonia), chronic pulmonary conditions, such as asthma and chronic obstructive pulmonary disease, malignancy, temporary infiltrates, and posttraumatic lesions.

Statistical analysis

Data were analyzed using IBM SPSS version 23.0 software (IBM Corp., Armonk, NY, USA). Descriptive statistics were used to present general characteristics of the study population. Parametric data were presented as mean ± standard deviation (SD), numeric variables were expressed as median (interquartile range), and categorical variables were expressed as frequency and percentage. The chi-square test or Fisher exact test was used to compare categorical data of the groups, and Student’s t-test was used to compare numeric (continuous) variables. A p-value <0.05 was considered statistically significant.

Results

The mean age at the time of diagnosis for psoriasis and PsA were 35.0±15.0 and 42.4±13.1 years, respectively. Plaque psoriasis was detected in 146 (70.8%) patients. Seventy (34.0%) patients had scalp involvement, and 50 (24.2%) patients had nail changes. The number of subjects with peripheral and axial joint involvement was 212 (89.5%) and 25 (10.5%), respectively. Forty-one (16.6%) subjects were found to have dactylitis. Inflammatory bowel disease was present in three (1.2%) patients, and six (2.4%) patients had inflammatory eye disease. General characteristics of the patients enrolled in the study are presented in Table 1.

Sixty-one (24.7%) patients had to undergone further investigation for respiratory system signs and symptoms. The most common pulmonary symptoms were chronic cough in 11, dyspnea in nine, and sputum color change and foul smelling sputum in seven patients. CT was performed in 60 (24.3%) patients (both CT and HRCT in 14 patients, only CT in 23 patients, and only HRCT in 23 patients). Twenty-five (41.7%) of these 60 patients were found to have at least one pathologic radiologic finding. CT-proven pulmonary lesions were present in 10.1% of all participants. Of these, pulmonary nodules were detected in 21 (8.5%), airway abnormality was present in 15 (6.1%) [eight emphysema (3.2%) and seven bronchitis (2.9%)], ILD was detected in nine (3.6%), pleural irregularity or thickening was present in seven (2.8%), drug toxicity was detected in two (0.8%), mesothelioma was detected in one (0.4%), and chronic COVID-19 (coronavirus disease 2019) pneumonia was detected in one (0.4%) patient (Table 2).

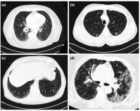
Thoracic CT and HRCT findings were as follows: ground glass opacity in 10 (40%), geographic pattern in four (16%), traction bronchiectasis in three (12%), interlobular septal thickening in three (12%), reticular pattern in three, (12%) and pulmonary arterial hypertension in two (8%) patients. Honeycombing was present in none of the subjects (Figure 1).

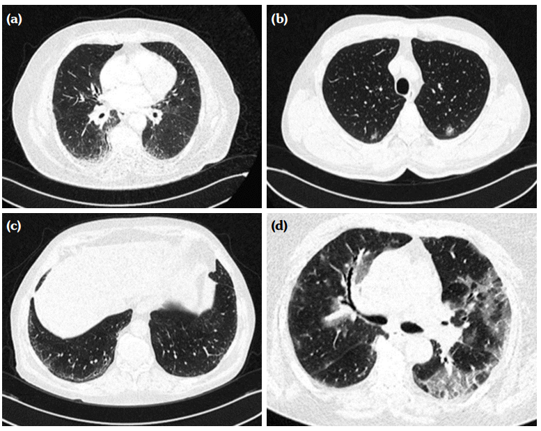
Among the nine patients with ILD, the most common patterns recognized were nonspecific interstitial pneumonia (NSIP) in three (1.2%), cryptogenic organizing pneumonia in two (0.8%), probable usual interstitial pneumonia (UIP) in two (0.8%), and unclassified type in two (0.8%) patients (Table 3). Figure 2 presents some examples for pulmonary involvement patterns. Mean values for FVC (forced vital capacity), FEV1 (forced expiratory volume in 1 sec), and FEV1/FVC of these patients were 67.4±30.6, 74.0±38.8, and 74.1±30.4, respectively.


When the groups with and without ILD were compared, it was found that ILD was significantly more common in males (p=0.010), and the mean age was higher in the group with ILD (63.1±7.9 vs. 51.6±12.0 years, p=0.007). Among the subjects who underwent CT imaging for the suspicion of a pulmonary lesion, the mean age was 50.7±9.8 years in those with ILD and 42.1±13.1 years in the patients with no ILD. However, there was no statistically significant between those with and without ILD (p=0.54). Smoking, chronic cough, and dyspnea were all more common in the ILD group (p=0.012, p=0.001, and p=0.030, respectively). Hydroxychloroquine use was significantly more common among patients with ILD (p=0.028). While five (2.1%) patients in the group without ILD had rheumatic disease, there were three (33.3%) PsA patients with concomitant CTD in the ILD group (p<0.001). Two of the patients with PsA accompanied by ILD also fulfilled rheumatic arthritis diagnostic criteria. In another patient, anti-Ro was positive, and salivary gland biopsy findings were compatible with primary Sjögren syndrome. Table 4 presents the characteristics of the patients with and without ILD.

Discussion

In this single-center study, we investigated the prevalence and patterns of pulmonary involvement in the patients with PsA. At least one pulmonary lesion was detected in 10.1% of the subjects, and the presence of ILD was found in 3.6% of PsA patients. Findings of this study indicate that pulmonary nodules are the most commonly encountered lesions in patients with PsA. Small pulmonary nodules are frequently detected by thoracic CT.[17] It was reported that these nodules may be detected in 30% of thoracic CT examinations, and the management of these is based on the risk of malignancy and patients’ preferences.[18] The prevalence of pulmonary nodules in our study population was similar to that of the normal population; therefore, it appears that there is no correlation between PsA and pulmonary nodules.

There are many studies and reviews in the literature on the prevalence and patterns of ILD in patients with ankylosing spondylitis and CTDs,[19,20] while the data on the prevalence and characteristics of ILD observed in individuals with PsA are scarce. This study presents novel information in this field. In our study, 3.6% of participants had ILD findings on CT. The prevalence of fibrotic lung disease detected in the patients with psoriasis was also similar (4.7%).[11] The prevalence of ILD among patients with PsA was lower than that in CTDs and ankylosing spondylitis but similar to that observed in psoriasis.

The most common ILD pattern detected in our study was NSIP. In a study involving patients with psoriasis and PsA accompanied by ILD, NSIP was the most common pattern when the cases with idiopathic pulmonary fibrosis were excluded.[11] In another case series involving six patients with PsA and ILD, NSIP was the most common pattern and was detected in 50% of the subjects.[21] Although these studies involved a small number of patients, it may be suggested that NSIP is the most commonly observed ILD pattern in patients with psoriasis and PsA. However, further studies are required to support these data and come to a definite conclusion.

Usual interstitial pneumonia is one of the most commonly detected patterns among the patients with CTDs, particularly in rheumatic arthritis.[22] The typical lesion of the UIP pattern detected in HRCT examinations is peripherally located honeycombing. Peripheral reticular changes and traction bronchiectasis without honeycombing indicate a probable UIP pattern. In our study, none of the patients with PsA had honeycombing on thoracic CT images. Our findings indicate that unlike in CTDs, UIP pattern is less common in PsA.

Cough, sputum production, and dyspnea were the most common respiratory symptoms in our study population, and 24.7% of the patients had at least one pulmonary symptom. As expected, these symptoms were significantly more common in patients with concomitant ILD. Among patients with pulmonary symptoms, 98% underwent thoracic CT imaging, which shows the importance of further detailed examinations, including thoracic CT, in the presence of pulmonary symptoms. However, since thoracic HRCT is not a routine examination carried out in all patients with PsA in our department, we might have missed subjects with asymptomatic ILD. It is known that patients with CTDs or ankylosing spondylitis may have asymptomatic HRCT lesions. However, no significant decrease was detected in pulmonary function tests of our PsA patients with ILD. Therefore, we suggest that PsA-related ILD exhibits a more benign course compared to idiopathic pulmonary fibrosis or CTD-related ILD.

Various factors are thought to play a role in the development of ILDs, such as age, sex, ethnicity, environmental factors, underlying diseases, and medications.[23] In our study, it was determined that the male sex, advanced age, and smoking may be risk factors for developing ILD. Since our study population was small, multivariable risk analysis could not be performed, and relative risk ratios could not be determined; therefore, it was not possible to determine whether the presence of psoriasis and PsA were the main risk factors for the development of ILD and how age, the male sex, and smoking contribute to the pathogenesis. Further investigations are required to clarify the pathogenetic characteristics, common immunologic pathways, and additional risk factors for psoriasis- and PsA-related ILDs.

Three of our subjects with PsA accompanied by ILD also had CTD. The first patient demonstrated high titer of rheumatoid factor and anti-CCP (cyclic citrullinated peptide) positivity, and the second patient had rheumatoid factor and antiCCP positivity, along with clinical and laboratory findings compatible with RA. Since these patients also had enthesopathy, distal interphalangeal joint involvement, spinal and sacroiliac joint involvement, and plaque psoriasis, they were diagnosed with PsA. Following the diagnosis of PsA, the third patient developed sicca symptoms and ILD signs and was investigated for additional etiology. Although ANA was negative, this patient was diagnosed with primary Sjögren syndrome due to anti-Ro positivity and histopathological findings (focus score >1 in lower lip minor salivary gland biopsy). The development of ILD in these three patients might be related to the presence of underlying CTDs. As is well known, the risk of developing ILD is quite high during the course of CTDs, and the presence of underlying ILD in these patients is related to high mortality. Among patients with systemic sclerosis and RA, 8 to 80% were reported to develop ILD, with 30% and 2.8% of them being severe, respectively.[24] Our previous studies revealed clinically significant ILD in 10 to 12% of patients with primary Sjögren syndrome.[25,26] One of the most important findings of this descriptive study was that approximately one-third of PsA patients with thoracic CT compatible with ILD had accompanying CTD. The results of this study emphasize that the PsA patients with ILD findings should be further evaluated for the presence of other rheumatic diseases, including CTDs. Large cohort studies, which enable relative risk analysis, are required to confirm the relationship between psoriasis, PsA, and the development of ILD.

In our study population, the prevalence of patients under the treatment of hydroxychloroquine sulfate was significantly higher in the presence of ILD. Since we did not routinely use hydroxychloroquine sulfate in the treatment of psoriasis, PsA, and ILD, we believe that this finding might be related to concomitant CTDs, as the main indications for this agent were rheumatic arthritis and Sjögren syndrome. There are ongoing studies on the efficacy of this agent in patients with ILDs.[27]

Psoriatic arthritis is regarded as a spondyloarthritis owing to some common characteristics shared with the diseases in this group. There are many publications in the literature on the pulmonary involvement in ankylosing spondylitis, which is another member of this group. A meta-analysis of these studies indicates that 61% of patients with ankylosing spondylitis had normal HRCT findings, while emphysema was detected in 18%, bronchiectasis in 10.8%, ground glass opacity in 11.2%, and upper lobe fibrosis in 6.9%.[19] In another retrospective study, pulmonary involvement criteria was apical fibrosis,[12] and it was detected in 1.05% of patients with PsA, all of whom had ankylosing spondylitis-like axial involvement. In our study, none of the subjects with PsA had apical fibrosis, which might be due to the small number of patients with axial involvement (n=25, 10%). Due to the fact that the risk of developing apical fibrosis is more common in ankylosing spondylitis than in PsA, one may suggest that axial spondyloarthropathies and PsA with axial involvement are different pathologies, although they are classified in the same group. Demographic and radiologic features and treatment responses of subjects with axial spondyloarthropathies differ from those of patients with PsA with axial involvement.[28] This is also suggested by ankylosing spondylitis and PsA cohort studies revealing different rates and patterns of pulmonary involvement.

Conventional disease-modifying antirheumatic drugs (DMARDs) and biologic agents (e.g., tumor necrosis factor inhibitors, IL-17 inhibitors, and IL-12/23 inhibitors) are used in the treatment of PsA. In our study, the number of patients treated with at least one conventional DMARD or biologic DMARD was 242 (98%) and 156 (63%), respectively. The most commonly used conventional DMARDs were methotrexate (94.3%) and leflunomide (49.0%), whereas adalimumab (37.6%) and etanercept (23.5%) were the most preferred biologic DMARDs. There was no relationship between the frequency of use of these agents and the development of ILD.

This study had some limitations. Since this was a retrospective study, there were some missing data, such as respiratory system symptoms, and further pulmonary evaluation was carried out only when the physician considered it necessary. Therefore, some asymptomatic lesions may have been missed. Furthermore, some patients underwent HRCT, while others had only CT data. In patients lost to followup, late occuring pulmonary issue could not be monitored. In addition, only descriptive analysis were performed, and analyses to determine the risk factors in subjects with pulmonary lesions, such as ILD, were not carried out. Long-term prospective studies involving a larger group of patients are required to discriminate psoriasisand PsA-related pulmonary lesions.

In conclusion, 10% of the patients in our PsA cohort had at least one pulmonary lesion, and 3.6% had ILD findings. Nodules and airway involvements were the other common lung lesions in PsA. The prevalence of ILD in PsA was lower than the rates reported in CTDs, the involvement was less severe, and patterns were different from that of ankylosing spondylitis.

Citation: Hünür M, Öğüt TS, Çelik E, Erbasan F, Dilbil M, Nokay M, et al. Lung involvement in patients with psoriatic arthritis. Arch Rheumatol 2024;39(4):631-640. doi: 10.46497/ ArchRheumatol.2024.10537.

Author Contributions

Data was contributed: M.H., V.Y.; Data was collected: M.H., M.D., M.N., F.E.; Data analyses and interpretation were performed: V.Y., T.S.Ö., E.C., M.E.T.; The first draft of the manuscript was written: V.Y.; All authors contributed to the study conception and design. All authors commented on previous versions of the manuscript. All authors read and approved the final and revised manuscript.

Conflict of Interest

The authors declared no conflicts of interest with respect to the authorship and/or publication of this article.

Financial Disclosure

The authors received no financial support for the research and/or authorship of this article.

Data Sharing Statement

The data that support the findings of this study are available from the corresponding author upon reasonable request.

References

  1. Dal Bello G, Gisondi P, Idolazzi L, Girolomoni G. Psoriatic arthritis and diabetes mellitus: A narrative review. Rheumatol Ther 2020;7:271-85. doi: 10.1007/ s40744-020-00206-7. DOI: 10.1007/s40744-020-00206-7
  2. Gladman DD, Ritchlin C. Clinical manifestations and diagnosis of psoriatic arthritis. 2010:v18. Available at: https://www.uptodate.com/contents/clinicalmanifestations-and-diagnosis-of-psoriatic-arthritis.
  3. Gossec L, de Wit M, Kiltz U, Braun J, Kalyoncu U, Scrivo R, et al. A patient-derived and patientreported outcome measure for assessing psoriatic arthritis: Elaboration and preliminary validation of the Psoriatic Arthritis Impact of Disease (PsAID) questionnaire, a 13-country EULAR initiative. Ann Rheum Dis 2014;73:1012-9. doi: 10.1136/ annrheumdis-2014-205207. DOI: 10.1136/annrheumdis-2014-205207
  4. Wang J, Ke R, Shi W, Yan X, Wang Q, Zhang Q, et al. Association between psoriasis and asthma risk: A meta-analysis. Allergy Asthma Proc 2018;39:103-9. doi: 10.2500/aap.2018.39.4109. DOI: 10.2500/aap.2018.39.4109
  5. Malerba M, Ponticiello A, Radaeli A, Bensi G, Grassi V. Effect of twelve-months therapy with oral ambroxol in preventing exacerbations in patients with COPD. Double-blind, randomized, multicenter, placebo-controlled study (the AMETHIST Trial). Pulm Pharmacol Ther 2004;17:27-34. doi: 10.1016/j. pupt.2003.08.004. DOI: 10.1016/j.pupt.2003.08.004
  6. Dejcman D, Skowasch D, Pizarro C, Krause A, Thomas D, Schäfer VS. Pulmonary manifestations of rheumatoid arthritis, psoriatic arthritis and peripheral spondyloarthritis: Prevalence, diagnostic approach and treatment options. Curr Rheumatol Rev 2021;17:17-28. doi: 10.2174/157339711666620090 5122757. DOI: 10.2174/1573397116666200905122757
  7. Webb WR, Muller NL, Naidich DP. High-resolution CT of the lung. Philadelphia: Lippincott Williams & Wilkins; 2014.
  8. McGonagle DG, McInnes IB, Kirkham BW, Sherlock J, Moots R. The role of IL-17A in axial spondyloarthritis and psoriatic arthritis: Recent advances and controversies. Ann Rheum Dis 2019;78:1167-78. doi: 10.1136/annrheumdis-2019-215356. DOI: 10.1136/annrheumdis-2019-215356
  9. Demoruelle MK, Mittoo S, Solomon JJ. Connective tissue disease-related interstitial lung disease. Best Pract Res Clin Rheumatol 2016;30:39-52. doi: 10.1016/j.berh.2016.04.006.
  10. Fagan NL, Foral PA, Malesker MA, Morrow LE. Therapeutic update on drug-induced pulmonary disorders. 2011 [Internet]. Available at: https://www. uspharmacist.com/article/therapeutic-update-ondrug-induced-pulmonary-disorders.
  11. Ishikawa G, Dua S, Mathur A, Acquah SO, Salvatore M, Beasley MB, et al. Concomitant interstitial lung disease with psoriasis. Can Respir J 2019;2019:5919304. doi: 10.1155/2019/5919304. DOI: 10.1155/2019/5919304
  12. Peluso R, Iervolino S, Vitiello M, Bruner V, Lupoli G, Di Minno MN. Extra-articular manifestations in psoriatic arthritis patients. Clin Rheumatol 2015;34:745-53. doi: 10.1007/s10067-014-2652-9. DOI: 10.1007/s10067-014-2652-9
  13. Kanathur N, Lee-Chiong T. Pulmonary manifestations of ankylosing spondylitis. Clin Chest Med 2010;31:547- 54. doi: 10.1016/j.ccm.2010.05.002. DOI: 10.1016/j.ccm.2010.05.002
  14. Manuel A, Jones Q, Wiggins J. Multiple pulmonary nodules in a male with psoriatic arthritis. Eur Respir Rev 2010;19:164-5. doi: 10.1183/09059180.00001210. DOI: 10.1183/09059180.00001210
  15. Scarpa R, Cosentini E, Manguso F, Oriente A, Peluso R, Atteno M, et al. Clinical and genetic aspects of psoriatic arthritis "sine psoriasis". J Rheumatol 2003;30:2638-40.
  16. Fischer A, Antoniou KM, Brown KK, Cadranel J, Corte TJ, du Bois RM, et al. An official European Respiratory Society/American Thoracic Society research statement: Interstitial pneumonia with autoimmune features. Eur Respir J 2015;46:976-87. doi: 10.1183/13993003.00150-2015. DOI: 10.1183/13993003.00150-2015
  17. Oke JL, Pickup LC, Declerck J, Callister ME, Baldwin D, Gustafson J, et al. Development and validation of clinical prediction models to risk stratify patients presenting with small pulmonary nodules: A research protocol. Diagn Progn Res 2018;2:22. doi: 10.1186/ s41512-018-0044-3. DOI: 10.1186/s41512-018-0044-3
  18. Mazzone PJ, Lam L. Evaluating the patient with a pulmonary nodule: A review. JAMA 2022;327:264- 73. doi: 10.1001/jama.2021.24287. DOI: 10.1001/jama.2021.24287
  19. El Maghraoui A, Dehhaoui M. Prevalence and characteristics of lung involvement on high resolution computed tomography in patients with ankylosing spondylitis: A systematic review. Pulm Med 2012;2012:965956. doi: 10.1155/2012/965956. DOI: 10.1155/2012/965956
  20. Yoo H, Hino T, Han J, Franks TJ, Im Y, Hatabu H, Chung MP, Lee KS. Connective Tissue Diseaserelated Interstitial Lung Disease (CTD-ILD) and Interstitial Lung Abnormality (ILA): Evolving concept of CT findings, pathology and management. Eur J Radiol Open 2020;8:100311. doi: 10.1016/j. ejro.2020.100311. DOI: 10.1016/j.ejro.2020.100311
  21. Bargagli E, Bellisai F, Mazzei MA, Conticini E, Alderighi L, Cameli P, et al. Interstitial lung disease associated with psoriatic arthritis: a new disease entity? Intern Emerg Med 2021;16:229-31. doi: 10.1007/s11739-020-02451-8. DOI: 10.1007/s11739-020-02451-8
  22. Demoruelle MK, Mittoo S, Solomon JJ. Connective tissue disease-related interstitial lung disease. Best Pract Res Clin Rheumatol 2016;30:39-52. doi: 10.1016/j.berh.2016.04.006. DOI: 10.1016/j.berh.2016.04.006
  23. Micheletti RG, Pagnoux C. Management of cutaneous vasculitis. Presse Med 2020;49:104033. doi: 10.1016/j.lpm.2020.104033. DOI: 10.1016/j.lpm.2020.104033
  24. Ahmed S, Handa R. Management of connective tissue disease-related interstitial lung disease. Curr Pulmonol Rep 2022;11:86-98. doi: 10.1007/s13665- 022-00290-w. DOI: 10.1007/s13665-022-00290-w
  25. Yazisiz V, Arslan G, Ozbudak IH, Turker S, Erbasan F, Avci AB, et al. Lung involvement in patients with primary Sjögren's syndrome: What are the predictors? Rheumatol Int 2010;30:1317-24. doi: 10.1007/ s00296-009-1152-8. DOI: 10.1007/s00296-009-1152-8
  26. Yazisiz V, Göçer M, Erbasan F, Uçar İ, Aslan B, Oygen Ş, et al. Survival analysis of patients with Sjögren's syndrome in Turkey: A tertiary hospital-based study. Clin Rheumatol 2020;39:233-41. doi: 10.1007/ s10067-019-04744-6. DOI: 10.1007/s10067-019-04744-6
  27. Griese M, Köhler M, Witt S, Sebah D, Kappler M, Wetzke M, et al. Prospective evaluation of hydroxychloroquine in pediatric interstitial lung diseases: Study protocol for an investigator-initiated, randomized controlled, parallel-group clinical trial. Trials 2020;21:307. doi: 10.1186/s13063-020-4188-4. DOI: 10.1186/s13063-020-4188-4
  28. Poddubnyy D, Jadon DR, Van den Bosch F, Mease PJ, Gladman DD. Axial involvement in psoriatic arthritis: An update for rheumatologists. Semin Arthritis Rheum 2021;51:880-7. doi: 10.1016/j. semarthrit.2021.06.006. DOI: 10.1016/j.semarthrit.2021.06.006