Sinem Kübra Beke1, Hüseyin Kaplan1, Gizem Cengiz1, Kemal Deniz2, Demet Kartal3

1Department of Physical Medicine and Rehabilitation, Division of Rheumatology, Erciyes University Faculty of Medicine, Kayseri, Türkiye
2Department of Pathology, Erciyes University Faculty of Medicine, Kayseri, Türkiye
3Department of Dermatology and Venereology, Erciyes University Faculty of Medicine, Kayseri, Türkiye

Dear Editor,

Pigmented purpuric dermatoses (PPD) are chronic skin diseases with recurrent lesions and similar histopathological features, including perivascular lymphocytic inflammation, epidermal changes, and erythrocyte extravasation.[1] Tumor necrosis factor-alpha (TNF-α) inhibitors are widely used in rheumatological disease management and have been associated with several skin reactions; however, reports of PPD are rare.[2] This article presents a case of PPD triggered by TNF-α inhibitor therapy.

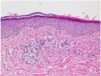
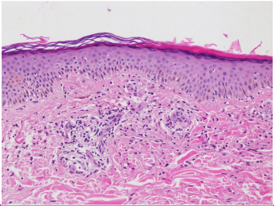
A 60-year-old female with seropositive rheumatoid arthritis on methotrexate, leflunomide, sulfasalazine, and prednisolone presented to the clinic with worsening symptoms despite combined conventional synthetic diseasemodifying antirheumatic drug (DMARD) therapy. Her history included total thyroidectomy and hypertension. Examination revealed 4 tender and 2 swollen joints, with no other abnormalities. Laboratory tests showed C-reactive protein was 19.64 mg/L, and erythrocyte sedimentation rate was 31 mm/hour. Due to high disease activity (Disease Activity Score 28: 5.97), etanercept was started. In the second month of etanercept treatment, the patient developed rashes on both lower extremities (Figure 1A). Physical examination and all laboratory tests, including complete blood count, biochemical tests, autoantibody profiles, complement levels, and viral serologies (hepatitis and HIV), were normal. A dermatology consultation was obtained, and a skin biopsy was performed, revealing findings consistent with PPD (Figure 2). Topical corticosteroids provided partial relief but did not fully resolve the rashes. Given the temporal relationship between etanercept and the development of rashes, the drug was stopped, and adalimumab was started. Therapy was discontinued due to continued joint pain and the persistence of rashes while on adalimumab, and an interleukin-6 inhibitor, tocilizumab, was initiated. At the 1-month follow-up after starting tocilizumab, a notable improvement in rashes was documented (Figure 1). Long-term follow-up is ongoing. Informed consent for publication was obtained from the patient.


The etiology of PPD is not fully understood, but its pathogenesis is thought to be driven by cell-mediated immune mechanisms.[1] Drugs such as statins, beta-blockers, calcium channel blockers, aspirin, and diuretics have been associated with PPD.[3,4] The strength of the association between the drug and the adverse reaction was evaluated using the Naranjo Adverse Drug Reaction Probability Scale. Scores ≥5 to 8 on this scale indicate a “probable” relationship, while scores ≥9 indicate a “definite” relationship. A Naranjo score of 6 confirmed a probable association between the rash and TNF-α inhibitors.[5] It is a rare disease, having been reported in just 2 cases associated with the use of TNF-α inhibitors.[6,7] In one of these 2 cases, the trigger was promoted by non-TNF, while in the other case, the trigger was TNF, and with the discontinuation of the drug, the lesions were resolved.[8] The persistence of rashes in this case parallels findings from previously reported cases, emphasizing the potential class effect of TNF-α inhibitors. PPD should be distinguished from vasculitis and similar conditions, and a skin biopsy serves as a valuable diagnostic tool.[4] In this case, at the 1-month follow-up visit at which the tocilizumab therapy was initiated, rashes almost completely regressed (Figure 1B), and the follow-up process is still ongoing. This case highlights the importance of careful monitoring for skin reactions in patients receiving TNF-α inhibitors and emphasizes the need for a multidisciplinary approach to ensure optimal management.

Cite this article as: Beke SK, Kaplan H, Cengiz G, Deniz K, Kartal D. Pigmented purpuric dermatosis following tumor necrosis factor-alpha inhibitor therapy: A case report. ArchRheumatol. 2025;40(2):267-269.

Ethics Committee Approval

N/A.

Peer Review

Externally peer-reviewed.

Author Contributions

Concept – S.K.B., H.K., G.C., K.D., D.K.; Design – S.K.B., H.K., G.C.; Supervision – S.K.B., H.K., G.C., K.D., D.K.; Materials – S.K.B., H.K., G.C., K.D., D.K.; Data Collection and/or Processing – S.K.B., H.K., G.C., K.D., D.K.; Analysis and/or Interpretation – S.K.B., H.K.; Literature Search – S.K.B., H.K., G.C.; Writing – S.K.B., H.K., G.C.; Critical Review – S.K.B., H.K., G.C., K.D., D.K.

Conflict of Interest

The authors have no conflicts of interest to declare.

Financial Disclosure

The authors declare that this study received no financial support.

Data Sharing Statement

The data that support the findings of this study are available on request from the corresponding author.

References

  1. Smoller BR, Kamel OW. Pigmented purpuric eruptions: immunopathologic studies supportive of a common immunophenotype. J Cutan Pathol. 1991;18(6):423-427. [CrossRef]
  2. Moustou A-E, Matekovits A, Dessinioti C, Antoniou C, Sfikakis PP, Stratigos AJ. Cutaneous side effects of anti-tumor necrosis factor biologic therapy: a clinical review. J Am Acad Dermatol. 2009;61(3):486-504. [CrossRef]
  3. Erbağcı Z, Tuncel AA. HCV enfeksiyonlu iki olguda pigmente purpurik dermatoz gelişimi. Turk Klin J Med Sci. 2003;23(3): 238-241.
  4. Tolaymat L, Hall MR. Pigmented Purpuric DermatitisIn: StatPearls [Internet], StatPearls Publishing; 2024. (https://www.ncbi.nlm.nih.gov/books/NBK519562)
  5. Naranjo C. The adverse drug reaction probability scale. Clin Pharmacol Ther. 1981;30:239-245.
  6. Moon SH, Ko JY. Dermatological side effects of Antitumor Necrosis Factor alpha therapy. J Rheum Dis. 2014;21(1):9-19. [CrossRef]
  7. Jhaveri D, Zhao F. TNF-α inhibitor induced pigmented purpuric dermatoses: a case report. BMC Rheumatol. 2022;6(1):34. [CrossRef]
  8. Sawamura D, Ohata Y, Shibaki A, Shimizu H. Pigmented purpuric dermatosis in mixed cryoglobulinaemia associated with rheumatoid arthritis and hepatitis C infection. Acta Derm Venereol. 2005;85(5):460-461. [CrossRef]