Acute Pancreatitis Presenting with Polyarthritis and Intraosseous Fat Necrosis: A Case Report
Hilal Kocabaş, Meltem Alkan Melikoğlu, İlhan Sezer, Ülkü Gürbüz, Cahit Kaçar, Bülent Bütün
Akdeniz Üniversitesi, Fiziksel Tıp ve Rehabilitasyon Anabilim Dalı, Antalya, Turkey
Keywords: Polyarthritis, panniculitis, pancreatitis
Abstract
Polyarthritis and panniculitis can be the presenting manifestations of pancreatitis. Early recognition of this triad is critical because of the high mortality rate from pancreatic disease when the diagnosis is delayed. Although this association can be seen at any age, its frequency peaks around the fifth decade of life. We report this case because of the rarity of the association and the high morbidity and mortality in these patients. (Turk J Rheumatol 2010; 25: 221-4)
Introduction
Pancreatic disorders may be accompanied with or preceded by articular manifestations. These include panniculitis or polyarthritis, which may occur either separately or together[1,2]. Arthritis and intramedullary fat necrosis can develop as a result of disseminated fat necrosis, forming the triad of pancreatitis, panniculitis and polyarthritis (PPP)[3,4]. Early recognition of the association between pancreatitis, panniculitis and arthritis is critical because of the high mortality from pancreatic disease when the diagnosis is delayed. Herein, we report a case who presented with polyarthritis, which had remained painful until the diagnosis and treatment of the primary disease.
Case Report
A 28-year-old female had been stabbed by a thief in her abdominal region and chest wall. She was operated immediately in a private hospital. Primary gastric restoration was performed and a chest tube was inserted. The chest tube was removed after approximately 10 days, and she was discharged. Three days later, she was admitted to the same hospital with painful swelling of her ankles. She was treated with nonsteroidal antiinflammatory drugs in the same hospital, but as her complaints worsened and she developed high fever, she was admitted to the Emergency Department of Akdeniz University Hospital. Her first examination revealed erythema, pain and swelling of the left leg extending from the ankle to the knee joint; swelling and pain at the right ankle; swelling, pain and limitation of motion at the right elbow; fever; and yellowish, malodorous discharge leaking from the abdominal operation site. Her laboratory findings were as follows: blood urea nitrogen (BUN) 9 mg/dL, alanine aminotransferase (ALT) 60 U/L, aspartate aminotransferase (AST) 52 U/L, C-reactive protein (CRP) 26.21 mg/dL, hemoglobin (Hb) 10.6 g/dL, white blood cells (WBC) 15.800 mm3, and platelets 374.000 mm3. Blood culture did not yield any microorganism. She was hospitalized with the diagnoses of incision site infection, cellulitis and elbow bursitis, and was treated with antibiotics. She began to improve, but on the 15th day of the treatment, she developed swelling at her right knee and was referred to our Rheumatology Department. The patient was evaluated, and arthritis was noted in her right knee. Arthrocentesis was performed, showing a yellowish, turbid joint fluid with a decreased viscosity. Microscopic examination was unremarkable and cultures did not yield any microorganism. As she had an infection site in the abdominal region, arthrocentesis fluid was inflammatory and the cultures were negative, she was diagnosed as reactive arthritis and treated with 100 mg indomethacin daily combined with cryotherapy and isometric exercises.
During the follow-up, her condition deteriorated, and nausea-vomiting, abdominal pain and high-grade fever developed. Her biochemistry examination documented elevated amylase and lipase levels, at 179 U/L and 283 U/L, respectively. Abdominal computerized tomography scan revealed pancreatic pseudocyst formation. The patient was operated and the pseudocyst was excised. Following the operation, swelling of her left knee was added to her complaints. When she was reevaluated, in addition to arthritis of both knees, swelling and erythema in the suprapatellar bursa was noted. Arthrocentesis was performed again, showing turbid, brownish, non-viscous joint fluid. Microscopic analysis was unremarkable and cultures were again all negative. Biochemical evaluation of the joint fluid was performed, which revealed glucose 108 mg/dL, total protein 3.5 g/dL, total cholesterol 38 mg/ dL, triglyceride 140 mg/dL, amylase 79 U/L, and lipase 6 2 U/L. Simultaneous blood amylase and lipase levels were 392 U/L and 752 U/L, respectively.
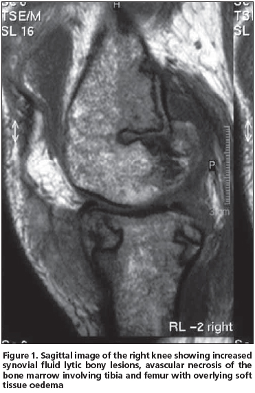
Magnetic resonance imaging of the left knee showed increased amount of joint fluid, synovial contrast enhancement, destructive changes of cortical bone in non-weight-bearing regions of the femur and tibia, and multiple foci of abnormal signal intensity. These findings were compatible with the diagnosis of fat necrosis secondary to acute pancreatitis (Figure 1). Synovial biopsy was performed endoscopically, which revealed coagulation necrosis areas, a few multinuclear cells and areas of fibrous tissue and fatty tissue.
With these findings, the patient was diagnosed as pancreatic polyarthritis. Peripancreatic collection was completely removed with a pancreatic drain. With pancreatic improvement and normalization of blood amylase and lipase levels, articular symptoms began to resolve. However, the extended immobilization of the patient caused knee contractures and muscle atrophy, which impeded her rehabilitation. Range of motion was between 20°-80° in her left knee and 0°-100° in her right knee. Intraarticular glucocorticoid injections were performed in both knees to facilitate resolution of her arthritis. In the following days, swelling of the second metatarsophalangeal joint of her left foot and the second metacarpophalangeal joint of her left hand occurred. Oral glucocorticoid treatment (30 mg/day) was started and tapered off gradually. During the follow-up, her arthritis did not recur. Following an intense rehabilitation program, knee contractures resolved and she was discharged ambulatory using a canadian crutch.
Discussion
Recognition of the association between pancreatitis, panniculitis, and polyarthritis (PPP syndrome) is important for two reasons: first, unrecognized pancreatic disease can be fatal if not treated promptly, and secondly, the polyarthritis-subcutaneous nodules complex may lead to a misdiagnosis and inappropriate therapy. Although this association can be seen at any age, its frequency peaks around the fifth decade of life. It occurs mostly in men, especially in alcohol-induced chronic pancreatitis[1,4,5]. Other reported pancreatic disorders associated with panniculitis and arthritis include acute pancreatitis of biliary origin, ischemia and trauma of the pancreas, and exocrine and endocrine tumors of the pancreas[1,4,6]. Our patient was a 28-year-old female with a history of penetrating abdominal trauma.
Arthralgia (or arthritis) is listed among the presenting symptoms of this triad in one- fourth of the cases[1,3,6-8] as was also observed in our patient. Between 50% and 88% of the patients have joint manifestations at some time during the syndrome[4,9]. Although metacarpophalangeals, knees and ankles are the most commonly affected sites[4,9], any joint can be involved, mimicking rheumatoid arthritis, gout and septic arthritis. Our patient's arthritis occurred in both knees. Although systemic manifestations of this syndrome may include polyserositis, mental status changes, medullary fat necrosis of long bones and aseptic necrosis of the bones were less frequently observed[1,4,7]. As mentioned, medullary fat necrosis of both femurs developed in our patient. The radiological appearance of medullary fat necrosis is characteristic, with osteolytic lesions and motheaten bone destruction and periostitis of the tubular bones of the extremities, which correlate pathologically with areas of extensive intramedullary fat necrosis and trabecular bone destruction.
Skin lesions vary in size[3], typically affecting the lower extremities, but unlike erythema nodosum, they may migrate proximally over the arms and the trunk. Histological features include necrotic fat cells appearing as “ghost-like” cells with an inflammatory infiltrate surrounding them[10]. Sterile abscess formation may occur, as in our patient, breaking down to release thick, purulent material, rich in triglycerides[10].
The pathogenesis of the syndrome remains obscure. Release of the pancreatic enzymes into the systemic circulation may lead to lipolysis in distant visceral and soft tissue sites, including the synovium[7]. Amylase, lipase and phospholipase A are all indicators of pancreatic damage, and persistently elevated serum levels appear to correspond to subsequent progression of fat necrosis[11].
Treatment of this condition is unclear. Usually the complaints resolve when the pancreatic pathology is treated, but sometimes it may be persistent. Hammar et al.[12] had implemented glucocorticoids and their case had improved. Therefore, in cases like ours, intraarticular or oral glucocorticoid treatment can be an alternative to improve the arthritis.
Our patient demonstrated few abdominal symptoms, despite high serum levels of amylase. A trial of nonsteroidal anti-inflammatory drug therapy was started, as she was considered to be a case of reactive arthritis, but this treatment proved to be ineffective, and her complaints did not resolve until the resolution of the underlying pancreatic disease process with surgical intervention. It is important to note that the arthritis of our patient persisted even after her serum amylase levels had returned to normal; her articular symptoms resolved completely only with the help of intraarticular and oral glucocorticoid therapy.
Conclusion
In patients with arthritis and panniculitis, a pancreatic process should be included in the differential diagnosis, even in cases with no symptoms or signs of pancreatic disorders. Glucocorticoid treatment can be an adjunct to resolve the arthritis observed in PPP syndrome.
Conflict of Interest
No conflict of interest declared by the authors.
References
- Shbeeb MI, Duffy J, Bjornsson J, Ashby AM, Matteson EL. Subcutaneous fat necrosis and polyarthritis associated with pancreatic disease. Arthritis Rheum 1996; 39: 1922-5.
- Francombe J, Kingsnorth A, Tunn E. Panniculitis, arthritis and pancreatitis. Br J Rheumatol 1995; 34: 680-3.
- Tannenbaum H, Anderson LG, Schur PH. Association of polyarthritis, subcutaneous nodules and pancreatic disease. J Rheumatol 1975; 2: 15-20.
- Potts DE, Mass FM, Iseman MD. Syndrome of pancreatic disease, subcutaneous fat necrosis and polyserositis. Am J Med 1975; 58: 417-23.
- Lambiase P, Seery JP, Taylor-Robinson SD, Thompson JN, Hughes JM, Walters JR. Resolution of panniculitis after placement of pancreatic duct stent in chronic pancreatitis. Am J Gastroenterol 1996; 91: 1835-7.
- Mullin GT, Caperton EM, Crespin SR, Williams RC Jr. Arthritis and skin lesions resembling erythema nodosum in pancreatic disease. Ann Intern Med 1968; 68: 75-87.
- Haller J, Greenway G, Resnick D, Kindynis P, Kang HS. Intraosseous fat necrosis associated with acute pancreatitis. MR imaging. Radiology 1989; 173: 193-5.
- Saag KG, Niemann TH, Warner CA, Naides SJ. Subcutaneous pancreatic fat necrosis associated with acute arthritis. J Rheumatol 1992; 19: 630-2.
- Hughes PSH, Apisarnthanarix P, Mullins JF. Subcutaneous fat necrosis associated with pancreatic disease. Arch Dermatol 1975; 111: 506-10.
- Francombe J, Kingsnorth AN, Tunn E. Panniculitis, arthritis and pancreatitis. Br J Rheumatol 1995; 34: 680-3.
- Schmidt J, Lewandrowski K, Fernandez-del Castillo C, Mandavilli U, Compton CC, Warshaw AL, et al. Histopathological correlates of serum amylase activity in acute experimental pancreatitis. Dig Dis Sci 1992; 37: 1426-33.
- Hammar AM, Sand J, Lumio J, Hirn M, Honkonen S, Tuominen L, et al. Pancreatic pseudocyst - portal vein fistula manifests as recidivating oligoarthritis, subcutaneous, bursal and osseal necrosis: a case report and review of literature. Hepato-Gastroenterol 2002; 49: 273-8.